Dobra cena.  w Internecie

szczegółowe informacje o produktach

Created with Pixso. Do domu Created with Pixso. produkty Created with Pixso.
Biomimetyka stomatologiczna
Created with Pixso. Popularne produkty Joydentalab: symulowane fałdy estetyczne

Popularne produkty Joydentalab: symulowane fałdy estetyczne

Nazwa marki: Joydenta
MOQ: Elastyczny
Czas dostawy: 4 dni robocze
Warunki płatności: T/T Paypal
Szczegółowe informacje
Nowa strona internetowa:
www.joydenta-lab.com
Nowa strona internetowa:
https://joydenta-lab.com/en/
Szczegóły pakowania:
folia bąbelkowa z pudełkiem
Możliwość Supply:
500 przypadków / dzień
Podkreślić:

symulowane fałdy stomatologiczne estetyczne

,

zestawy zębowe z gwarancją

,

popularne estetyczne fałdy stomatologiczne

Opis produktu
Popularne produkty Joydentalab: symulowane fałdy estetyczne
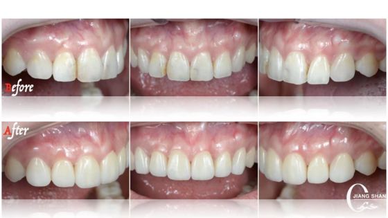
Zmień uśmiech żywiołowymi, estetycznymi podkładkami - Badanie przypadku

W naszym laboratorium stomatologicznym jesteśmy dumni z tworzenia wysokiej jakości, niestandardowo wykonanych fajerów estetycznych, które płynnie łączą się z naturalnymi zębami.Nasza niedawna współpraca z wiodącą kliniką stomatologiczną doprowadziła do kolejnej niesamowitej przemiany uśmiechu, i cieszymy się, że możemy podzielić się z wami tą wyjątkową sprawą.

Pacjentka wystąpiła z:Zmieniające kolor, nierówne zęby, wpływające zarówno na estetykę, jak i pewność siebie.

Po:Świecący, symetryczny i naturalnie wyglądający uśmiech, który mówi wiele.

Używając wysokiej jakości porcelanowych fajerów, zaprojektowanych z precyzją i artystycznym akcentem, stworzyliśmy zestaw cienkich,trwałe laminacje, które doskonale naśladują właściwości odblaskowe naturalnej emaliiW rezultacie doskonały, trwały uśmiech, który wygląda i czuje się autentyczny.

Dlaczego wybrałeś nasze fajerwerki?
  • Dostosowanie:Każda z nich jest cyfrowo zaprojektowana i ręcznie wykończona, aby dopasować się do cech twarzy pacjenta i pożądanych wyników.
  • Biokompatybilność:Używamy wyłącznie wysokiej jakości materiałów odpornych na plamy, aby zapewnić prawdziwy wygląd i trwałe działanie.
  • Minimalnie inwazyjne:Nasze ultracienkie facety wymagają niewielkiej lub żadnej redukcji zębów, zachowując naturalną strukturę zęba.

Ta sprawa jest świadectwem tego, co nowoczesna stomatologia kosmetyczna może osiągnąć z odpowiednią wiedzą i materiałami.Niezależnie od tego, czy jesteś dentystą, który chce zaoferować makijaż uśmiechu, czy pacjentem, który chce zwiększyć pewność siebie.Nasze laboratorium stomatologiczne jest Państwa zaufanym partnerem w zakresie doskonałości estetycznej.

Dołącz do niezliczonej liczby zadowolonych klinik i pacjentów na całym świecie, którzy doświadczyli przemieniającej życie mocy fajerów estetycznych.

#makeover #customveneers #stomatologicznelaboratorium #naturalnie wyglądające zasłony #minimalnieinwazyjnewinyery #premiumdentallab #ceramic veneers #Uśmiech #Designowanie estetyki #veneercases #internationalaldentallab
Dobra cena.  w Internecie

szczegółowe informacje o produktach

Created with Pixso. Do domu Created with Pixso. produkty Created with Pixso.
Biomimetyka stomatologiczna
Created with Pixso. Popularne produkty Joydentalab: symulowane fałdy estetyczne

Popularne produkty Joydentalab: symulowane fałdy estetyczne

Nazwa marki: Joydenta
MOQ: Elastyczny
Szczegóły opakowania: folia bąbelkowa z pudełkiem
Warunki płatności: T/T Paypal
Szczegółowe informacje
Nazwa handlowa:
Joydenta
Nowa strona internetowa:
www.joydenta-lab.com
Nowa strona internetowa:
https://joydenta-lab.com/en/
Minimalne zamówienie:
Elastyczny
Szczegóły pakowania:
folia bąbelkowa z pudełkiem
Czas dostawy:
4 dni robocze
Zasady płatności:
T/T Paypal
Możliwość Supply:
500 przypadków / dzień
Podkreślić:

symulowane fałdy stomatologiczne estetyczne

,

zestawy zębowe z gwarancją

,

popularne estetyczne fałdy stomatologiczne

Opis produktu
Popularne produkty Joydentalab: symulowane fałdy estetyczne
Zmień uśmiech żywiołowymi, estetycznymi podkładkami - Badanie przypadku

W naszym laboratorium stomatologicznym jesteśmy dumni z tworzenia wysokiej jakości, niestandardowo wykonanych fajerów estetycznych, które płynnie łączą się z naturalnymi zębami.Nasza niedawna współpraca z wiodącą kliniką stomatologiczną doprowadziła do kolejnej niesamowitej przemiany uśmiechu, i cieszymy się, że możemy podzielić się z wami tą wyjątkową sprawą.

Pacjentka wystąpiła z:Zmieniające kolor, nierówne zęby, wpływające zarówno na estetykę, jak i pewność siebie.

Po:Świecący, symetryczny i naturalnie wyglądający uśmiech, który mówi wiele.

Używając wysokiej jakości porcelanowych fajerów, zaprojektowanych z precyzją i artystycznym akcentem, stworzyliśmy zestaw cienkich,trwałe laminacje, które doskonale naśladują właściwości odblaskowe naturalnej emaliiW rezultacie doskonały, trwały uśmiech, który wygląda i czuje się autentyczny.

Dlaczego wybrałeś nasze fajerwerki?
  • Dostosowanie:Każda z nich jest cyfrowo zaprojektowana i ręcznie wykończona, aby dopasować się do cech twarzy pacjenta i pożądanych wyników.
  • Biokompatybilność:Używamy wyłącznie wysokiej jakości materiałów odpornych na plamy, aby zapewnić prawdziwy wygląd i trwałe działanie.
  • Minimalnie inwazyjne:Nasze ultracienkie facety wymagają niewielkiej lub żadnej redukcji zębów, zachowując naturalną strukturę zęba.

Ta sprawa jest świadectwem tego, co nowoczesna stomatologia kosmetyczna może osiągnąć z odpowiednią wiedzą i materiałami.Niezależnie od tego, czy jesteś dentystą, który chce zaoferować makijaż uśmiechu, czy pacjentem, który chce zwiększyć pewność siebie.Nasze laboratorium stomatologiczne jest Państwa zaufanym partnerem w zakresie doskonałości estetycznej.

Dołącz do niezliczonej liczby zadowolonych klinik i pacjentów na całym świecie, którzy doświadczyli przemieniającej życie mocy fajerów estetycznych.

#makeover #customveneers #stomatologicznelaboratorium #naturalnie wyglądające zasłony #minimalnieinwazyjnewinyery #premiumdentallab #ceramic veneers #Uśmiech #Designowanie estetyki #veneercases #internationalaldentallab